8 年
手机商铺
公司新闻/正文
3861 人阅读发布时间:2025-06-19 13:58
全景数字玻片扫描系统作为病理玻片数智化的第一站,扮演着至关重要的角色。它不仅改变了传统病理学的工作模式,更为后续的人工智能分析、远程咨询及科研大数据管理奠定了坚实基础。如何获取高质量的、可验证的数字全景成像与高效的工作流程成为转型的关键。奥伟登(Evident)推出针对数字病理的 “黄金双枪组合”:全景玻片扫描系统SLIDEVIEW VS-M1与SLIDEVIEW VS200,助力客户轻松应对明场、暗场、荧光和偏光等不同扫描成像的需求。

左图:SLIDEVIEW VS-M1;右图:SLIDEVIEW VS200
我们深刻理解数字病理成像所面临的多重挑战:
日益增长的扫描需求
复杂多样的样本类型
可经验证的流程质控
数据孤岛与系统集成
为此,奥伟登(Evident)精心打造VS-M1与VS200的组合方案,为病理学提供了更高效、更全面的解决方案。
SLIDEVIEW VS-M1
轻松扫描、自信决策
专为繁忙的病理学实验室设计
值得信赖的扫描成像
您多年来一直信赖的光学品质如今已体现在专用玻片扫描系统中。基于病理学成像领域深厚的专业知识而打造,为组织学和细胞学样品提供显微镜质量的图像。可验证的数字成像流程,系统化的色彩再现评估方法让真实颜色准确再现。
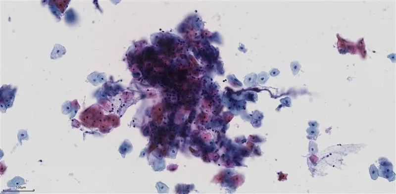
清晰捕捉细胞学样品的图像


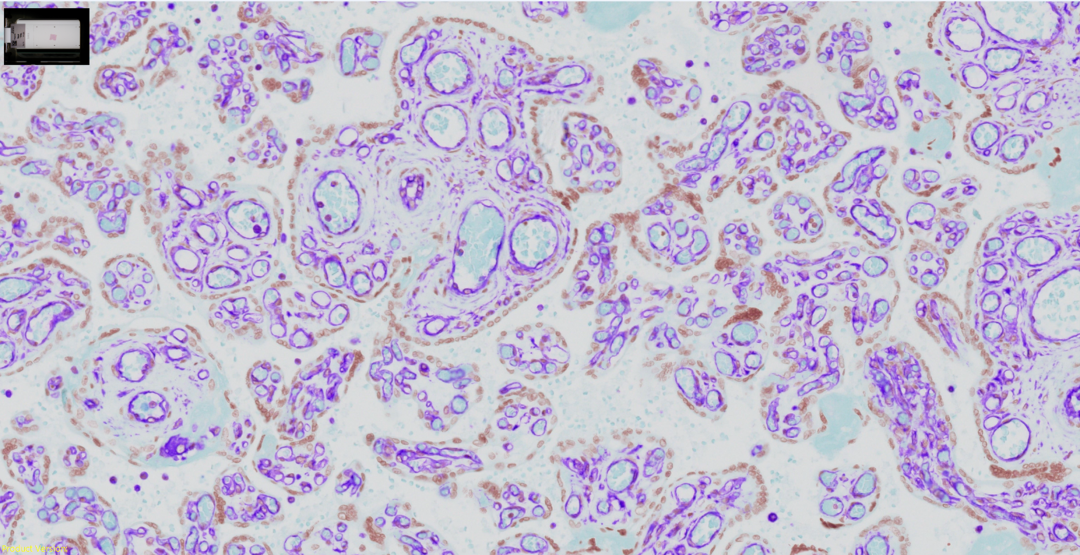
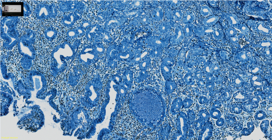
清晰捕捉各种组织和染色的细节

胃组织,H&E(苏木素和伊红)染色

胎盘波形蛋白(Vimentin)的免疫组化染色(IHC)

人类结肠组织,Warthin-Starry(WS)染色

胃组织,Giemsa染色
优化您的工作流程
系统最多可同时容纳150张玻片,每小时可扫描80多张,加快了实验室的数字化处理过程。连续装载功能可在扫描仪运行时更换托架(每个托架可容纳30张玻片),还可在批量扫描过程中插入需要紧急处理的玻片,进一步提高检测通量。

易于信息系统集成
可与您现有的实验室信息系统轻松集成。 DICOM格式与现有基于PACS或基于DICOM的图像管理系统兼容。
SLIDEVIEW VS200
每张玻片、每个细节、每种可能
充分释放样本潜能的应用多面手
轻松应对多类型样本的数字应用
通过五种成像模式为病理学样本提供了广泛的应用可能。使用偏光模式观察淀粉样蛋白样本中的晶体结构、扫描荧光染色的样本进行FISH分析或免疫肿瘤学分析等。

适用于不同尺寸的载玻片规格
系统支持多种类型、尺寸和染色方式的玻片。系统可自动识别不同格式的玻片并在同一批次中进行扫描,从而提高了检测效率和处理通量。

易于信息系统集成
通过可选配Net Image Server(网络图像服务器, NIS)SQL数据库,可在任何地方管理大型图像文件。通过我们基于网络的图像查看器OlyVIA存储图像并安全共享。
结语
全景数字玻片扫描系统不仅是病理数智化的技术起点,更是推动精准医疗落地的战略支点。随着AI与5G技术的深度融合,其作为"数字基座"的价值将进一步凸显。
奥伟登( Evident)的SLIDEVIEW系列扫描系统,以卓越成像质量、智能工作流设计与开放生态兼容性,助力病理学高效完成数智化升级,拥抱精准医学的未来!