8 年
手机商铺
公司新闻/正文
1177 人阅读发布时间:2023-12-11 15:02

新年在即,Evident的DP显微数码相机家族又迎来一全新“成员”——DP75!DP75开创了显微成像的新纪元。一机在手,让您轻松应对各种常规显微成像应用,助力研究人员和检测人员捕获从明场到荧光,甚至是近红外(NIR)范围内的高分辨率图像。这款创新型相机简化了显微成像过程,可使您更加专注于自己的实验。
01 超高分辨率,细节更清晰
1237万像素的彩色CMOS传感器,结合像素位移技术更可采集4915万像素超高分辨率图像,让您灵活应对各类常规显微镜在不同倍率物镜下的显微成像需求。
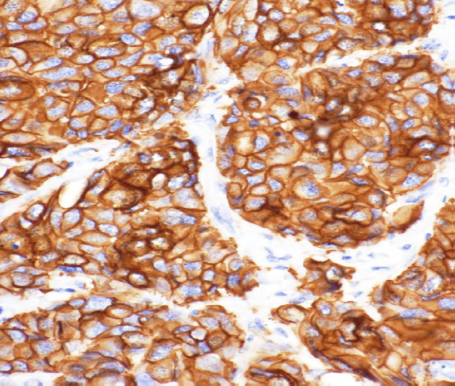
02 12轴校正,让色彩还原更精准
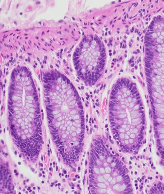
色彩还原精准,一直让DP相机家族广受赞誉。DP75将该技术进一步提升,将色彩空间划分为12个区域独立校正,让各种常见的病理染色标本都得到真实的色彩再现。

样品:HE染色结肠
03 Peltier制冷,信噪比更佳


04 宽光谱,拓展红外成像边界
DP75采用可切换的IR滤镜设计,让它的光谱响应轻松触达1000nm。从此,无论是可见荧光成像,还是不可见的CY7染色记录,都仅需一台DP75来完成。
IR截至滤镜切换杆
05 AI识别场景,采集更便利
基于人工智能的自动场景检测,让DP75可自动识别五种观察方法(明场、荧光、相差、微分干涉和偏光),使任何人都能在更少的训练下获得高质量的显微图像。
AI自动识别对比图
06 手动拼接明场和荧光大图

手动荧光拼图
07 线性模式采集,实现定量分析
传统DP相机由于应用了非线性图像处理,因此无法获得定量的强度数据。DP75相机的线性模式可轻松进行定量数据收集,还可对样品上的荧光表达进行相对强度评估。
