8 年
手机商铺
公司新闻/正文
1518 人阅读发布时间:2021-03-01 11:18

两款全新DP系列相机均配备了高效、智能功能,让用户只需根据分辨率等级选择最合适的型号。
具备4K超高清图像质量的DP28相机让用户能够共享和讨论样品图像的细微之处,而具备640万像素分辨率和每秒45帧速率的DP23相机则能够轻松快速捕捉满足大多数生命科学成像应用细节所要求的图像。

在显示器或大屏幕上显示显微图像时,尽可能高的分辨率以及更快的帧率非常重要。DP28相机的890万像素CMOS图像传感器、全局快门以及4K分辨率(每秒32帧)能够提供出色图像质量。为了捕捉到快速移动样品的流畅图像,相机能够以64 fps采集与标准显示器最大帧率匹配的全高清实时图像。



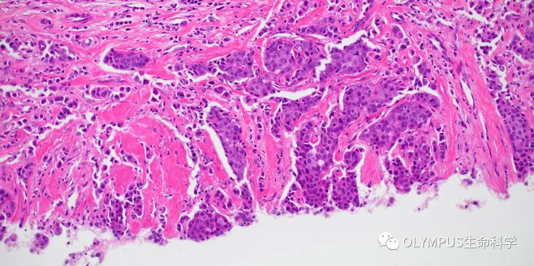
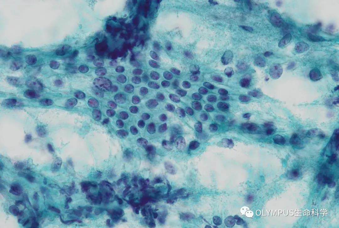
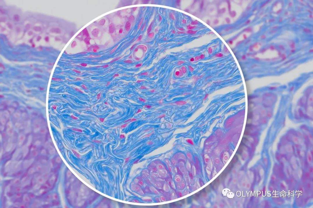
与DP系列的所有相机一样,这两款相机均能够准确还原色彩,让染色标本看起来与预期别无二致。


高效的远程协作交流
包括图像、注释和实时测量的所有关键数据均可在本地或远程显示和共享。
